When Breathing Affects More Than Just Sleep
Two 11-year-old twins.
One common problem — mouth breathing and disturbed sleep.
Two completely different healing journeys.
When Agasthya and Abhaya first came to us, their parents were deeply concerned. Both children struggled with mouth breathing, snoring, and restless sleep.
But what truly alarmed them was Agasthya’s severe teeth grinding.
No matter how many nightguards they tried, nothing worked — if anything, it made things worse.
Their parents’ wish was simple:
👉 To see their children breathe easy, sleep peacefully, and grow healthy.
The Early Struggles: More Than Just Crooked Teeth
The twins didn’t suffer from any major medical disorder — yet their breathing patterns, sleep, and facial growth were clearly off track.
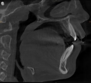
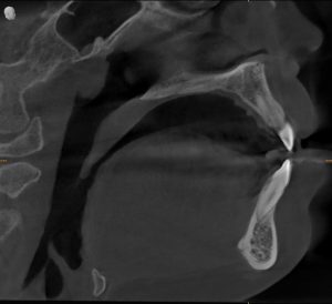
Despite months of nasal sprays, medications, and ENT visits, their enlarged adenoids hadn’t improved.
Surgery was suggested — but the family was hesitant and confused.
Further evaluation revealed:
- Narrow dental arches and crowded teeth
- Open bite (front teeth didn’t meet)
- Lip incompetence (difficulty keeping lips closed)
“It wasn’t just about their teeth — it was about their ability to breathe, rest, and grow.”
Their parents watched helplessly as both children:
- Slept with open mouths
- Woke up tired and irritable
- Struggled to focus during the day
Understanding the Why: Habit or Obstruction?
Before planning treatment, we asked the most critical question:
Were they mouth breathing because of a blockage — or was it a learned habit?
Through clinical examination and radiographic evaluation, we confirmed:
It wasn’t a structural problem — it was habitual mouth breathing.
That insight opened the door to natural correction.
If we could retrain their muscles and restore nasal breathing, we could transform their sleep, energy, and development.

The Twin Treatment Plan: Same Start, Different Paths
We began with a personalized myofunctional therapy plan for both twins, focusing on muscle retraining and airway development.
Phase I – Myofunctional Intervention
- Myofunctional devices to guide tongue position and promote nasal breathing
- Therapy exercises to strengthen oral and facial muscles
- Regular reviews every few months to track breathing and sleep progress
After 8 months, a fascinating divergence appeared:
- Agasthya’s Progress:
His nasal breathing normalized, facial muscle tone improved, and his teeth grinding reduced significantly. He didn’t need further expansion. - Abhaya’s Response:
While breathing improved, she still had a narrow palate and limited airway volume — so we proceeded with palatal expansion to support her growth and bite alignment.
Even though they were twins with almost identical features, their bodies responded uniquely.
“Same genetics. Same home. Same start — yet, two entirely different healing paths.”
The Transformation: 18 Months of Change
By the 18th month, both children had blossomed.
✨ The Results:
- No more mouth breathing
- No snoring or restless sleep
- Balanced facial growth
- Improved focus, energy, and emotional well-being
For Agasthya, the relentless teeth grinding that once seemed unsolvable finally disappeared.
For Abhaya, expansion therapy opened her airway and restored harmony to her bite and facial structure.
Their smiles reflected not just dental improvement — but total wellness.
Parents’ Reflections: From Worry to Relief
After years of sleepless nights and conflicting advice, their parents finally felt peace.
“We can’t believe the difference. They sleep quietly now. They wake up happy.
It’s like having two new children.”
Their story became a living example of what happens when care focuses on function, not just symptoms.
The Takeaway: Every Child Is Unique
The most important lesson from their journey?
There is no one-size-fits-all in children’s airway or facial development.
Even twins — sharing the same DNA — needed different solutions to reach the same goal.
That’s why every child deserves a customized approach, not just a standard treatment.
“Treating the cause, not the consequence — that’s where true healing begins.”
A Message for Parents
If your child:
- Breathes through their mouth
- Snores at night
- Grinds their teeth
- Struggles with sleep or facial growth
…there’s hope beyond just medications, surgery, or nightguards.
With the right diagnosis, muscle retraining, and growth-guided therapy, children can return to:
✅ Natural breathing
✅ Peaceful sleep
✅ Balanced facial development
Final Thought: Twin Journeys, One Truth
Agasthya and Abhaya’s story is a powerful reminder that healing isn’t about identical treatment — it’s about individual understanding.
Two children.
Two journeys.
One destination — healthy breathing, balanced growth, and happy sleep.
Every child’s journey is unique — but every child deserves the chance to thrive.