“It Wasn’t Just His Jaw — It Was His Breath, His Sleep, His Life.”
Most people think TMJ pain starts in the jaw — but what if it begins with how you breathe?
When the airway narrows, the entire body compensates. The head shifts forward, the jaw tightens, and muscles stay tense just to keep air flowing.
Over time, this fight for oxygen leads to chronic jaw pain, fatigue, and restless sleep.
And that’s exactly what happened to Rajesh.
“He Looked Healthy — But Every Breath Was a Struggle.”
Rajesh, a 38-year-old corporate manager and father of two, seemed perfectly fine on the outside.
But behind his confident smile was a daily battle with exhaustion and pain.
Each morning began with jaw tightness and headaches that hit before noon.
At night, he snored loudly — sometimes stopping mid-breath as his wife watched in alarm.
He tried everything: painkillers, physiotherapy, and even nightguards from two dentists. Nothing worked for long.
“I thought it was just stress,” he said, “but deep down, I knew something wasn’t right.”
“When Sleep Feels Like Suffocation — The Body Fights to Survive.”
When Rajesh first came to us, his request was simple:
“Doctor, I just want to sleep normally and stop waking up tired.”
On examination, his body was already showing the signs of compensation.
What We Found
- Restricted airway space
- Forward head posture (his body’s way of keeping the airway open)
- Tight, overworked jaw muscles
- Clicking and pain during movement
- Mouth breathing habit
- Poor sleep and constant fatigue
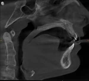
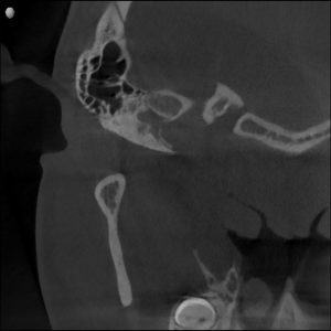
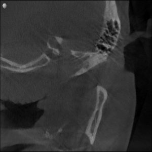
Radiographs confirmed it — his airway was constricted.
His jaw alignment had shifted to make breathing easier, but that adaptation had caused years of TMJ dysfunction.


“It Wasn’t Stress. It Was His Airway Crying for Help.”
Rajesh’s jaw pain wasn’t just a local issue — it was a full-body alarm.
His jaw muscles were working overtime at night just to keep his airway open.
Once we identified the real cause, the focus shifted from treating pain to restoring breath and function.
“The Turning Point: Treating the Cause, Not the Symptom.”
We built a customized, airway-centered plan to bring balance back to his system.
The Treatment Plan
- Orthotic Therapy – To decompress and realign the TMJ, allowing the muscles to relax.
- Airway-Focused Bite Correction – To restore natural jaw position and breathing efficiency.
- Myofunctional & Breathing Therapy – To retrain nasal breathing and proper tongue posture.
- Lifestyle Modifications – Focused on posture, sleep position, and hydration.
Each step was about helping his body work naturally again, without strain or compensation.
“Every Month, a Little More Air — and a Lot Less Pain.”
Healing wasn’t instant — but it was steady.
Month 1: The jaw pain began to ease.
Month 3: He stopped waking up gasping at night.
Month 6: His headaches were gone.
Month 9: His wife said, “You don’t snore anymore.”
His airway space improved, his TMJ symptoms disappeared, and his energy returned.
“For the first time in years,” Rajesh smiled, “I wake up and actually feel alive.”
“He Didn’t Just Heal — He Transformed.”
Rajesh’s journey went far beyond physical recovery.
His posture improved, his face relaxed, and his mornings started with clarity instead of exhaustion.
He now feels calmer, sharper, and more confident — at home and at work.
Every follow-up visit reminds us of the power of treating the body as a whole.
Healing Beyond the Jaw – A Clinical Perspective
“When the Airway Opens, Everything Changes — Energy, Posture, and Peace.”
As clinicians, we often see patients with TMJ pain, fatigue, and disturbed sleep.
Too often, the real issue is overlooked — a restricted airway forcing the jaw into unhealthy compensation.
Rajesh’s case was a textbook example of TMJ dysfunction secondary to airway collapse.
Clinical & Radiographic Findings
- Forward head posture and low tongue position
- Narrow pharyngeal airway space
- Muscular hyperactivity in the masseter and temporalis
- Clicking and fatigue during jaw movement
- Chronic mouth breathing
Diagnosis
TMJ Dysfunction associated with restricted airway and myofunctional imbalance.
Our Conservative, Functional Approach
- Orthotic therapy for TMJ decompression
- Airway-guided bite correction
- Myofunctional and breathing re-education
- Lifestyle and postural guidance
Results After 9 Months
- Complete relief from TMJ pain
- Normalized breathing and improved airway space
- Snoring eliminated
- Restful, uninterrupted sleep
- Improved posture and focus
Radiographs confirmed increased airway space and balanced joint position.
“He Came Looking for Relief. He Left with Renewal.”
Rajesh’s story reminds us that TMJ therapy is about more than joints — it’s about restoring breath, balance, and life itself.
When the airway opens, the entire body begins to heal.
Because breathing better means living better.
“Breathe Freely. Sleep Deeply. Live Fully.”