When Sleep Stops — Life Slows Down
For years, Mr. Abdul Rahim, a 41-year-old businessman, lived with exhaustion he couldn’t explain.
Despite sleeping for eight hours, he woke up more tired than when he went to bed. His days blurred into a fog of fatigue, headaches, and irritability — all symptoms of Obstructive Sleep Apnea (OSA), a condition where breathing repeatedly stops during sleep.
He tried everything — including CPAP therapy, the gold standard for OSA treatment.
But every night was a struggle.
“I felt like I was fighting the machine more than my sleep,” he said with a weary smile.
When his ENT specialist noticed a retruded jaw and airway constriction, he was referred to our clinic for a possible non-surgical alternative — an approach grounded in airway-centered orthodontics.
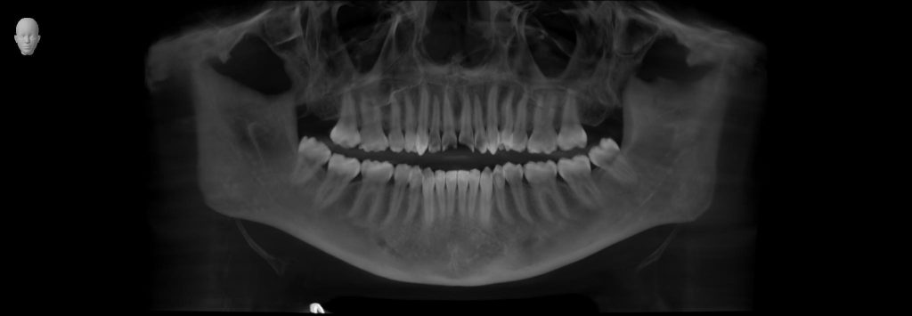
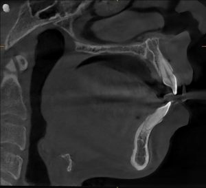
The Hidden Anatomy of a Breathing Problem
A detailed clinical and radiographic evaluation revealed the silent contributors behind his sleep struggles:
- Retrognathic mandible (recessed lower jaw) — restricting airway space
- Large, low-lying tongue — collapsing backward during sleep
- Airway analysis: Moderate to severe constriction
- Facial profile: Skeletal imbalance linked to airway narrowing
The diagnosis was clear:
His airway wasn’t just closing during sleep — it was structurally compromised.
Rethinking Sleep Apnea — Beyond the Mask
After discussing his case in depth, two treatment pathways were presented:
Option 1: Surgical Correction
Bilateral Sagittal Split Osteotomy (BSSO) with mandibular advancement and glossoplasty — a surgical route to permanently enlarge the airway.
While effective, it involved hospitalization and downtime, which the patient wasn’t ready for.
Option 2: Non-Surgical Orthodontic Approach
A more conservative, functional plan tailored to his anatomy and comfort:
- Mandibular Advancement Device (MAD):
A custom oral appliance designed to gently reposition the lower jaw forward during sleep — mechanically opening the airway. - Vacuum Tongue Suction Holder:
A supportive device to maintain tongue position, preventing it from collapsing backward.
For a patient already fatigued by years of CPAP use, this approach offered hope — freedom through simplicity.


The Turning Point: From Surviving to Resting
Within weeks of consistent appliance use, remarkable changes began to unfold:
✅ Snoring reduced dramatically
✅ Morning freshness returned
✅ Daytime drowsiness disappeared
✅ Focus and energy improved
He shared with a grin,
“For the first time in years, I woke up feeling like myself again.”
At his 12-month follow-up, his gratitude filled the clinic — along with the aroma of the sweets he brought as a thank-you gesture.
He no longer relied on CPAP, slept peacefully, and reported that his productivity and mood had transformed.
A Clinical Reflection: The Airway Behind the Smile
Sleep apnea isn’t just about snoring or poor sleep — it’s a systemic condition that affects the brain, heart, metabolism, and emotional health.
By focusing on airway anatomy, dentists and orthodontists can play a vital role in treatment — addressing the root cause rather than the symptom.
Why Airway Dentistry Works:
- Repositions the jaw to prevent airway collapse
- Stabilizes tongue posture
- Reduces snoring and oxygen desaturation
- Improves sleep quality without surgical intervention
This case is a reminder that orthodontics isn’t just about straightening teeth — it’s about optimizing the space that sustains life: the airway.
Restoring More Than Sleep
For Mr. Rahim, the biggest change wasn’t medical — it was emotional.
He could finally rest, think clearly, and enjoy life without constant fatigue.
His words during the final review captured it best:
“I didn’t realize how much life I was missing — until I could breathe freely again.”
Final Thoughts: Where Science Meets Empathy
Airway-focused orthodontics bridges the gap between dental science and holistic wellness.
It gives hope to patients who can’t tolerate CPAP — offering a comfortable, customized, and effective path to recovery.
“We don’t just treat teeth. We treat people — their sleep, their breath, their life.”
If you or someone you know struggles with snoring, restless sleep, or chronic fatigue, remember:
You don’t have to live with it forever.
Sometimes, the path to better sleep begins with your dentist.