“When Breathing Right Changes Everything”
For 11-year-old Advaith, everyday things like sleeping peacefully or waking up fresh were becoming impossible.
His parents were watching him struggle — snoring loudly, breathing through his mouth, and grinding his teeth every night.
They’d tried everything — nasal sprays, tablets, multiple ENT visits — but nothing worked.
Finally, surgery for enlarged adenoids was advised.
Understandably, the family wanted a gentler way.
That’s when Advaith’s journey toward natural, healthy breathing began.
The Concerns That Brought His Parents In
Advaith’s parents described a list of persistent symptoms that had slowly affected his sleep, growth, and daily life:
- Mouth breathing throughout the day
- Loud snoring and teeth grinding at night
- Enlarged adenoids not improving with medication
- Front teeth that didn’t meet (open bite)
- Narrow upper jaw (palate)
- Lips that stayed apart at rest
“We were told surgery was the only option — but we hoped there was another way.”
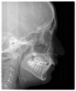
Diagnosis: Finding the Real Cause
Our first step was to understand why Advaith was mouth breathing.
Was it because of an obstruction or a habit?
A combination of clinical evaluation, radiographs, and functional tests revealed that it was both anatomical and habitual — a dual problem.
Key Findings:
- Mild enlargement of adenoids causing partial obstruction
- Habitual mouth breathing even when the airway was clear
- Narrow palate and open bite
- Lip incompetence affecting muscle balance


This mixed cause meant that treating only the adenoids — or only the habit — would not bring lasting change.
We needed a plan that restored function, growth, and balance together.
The Treatment Plan: Healing Without Hurry
Instead of rushing into surgery, we began a conservative, phase-wise approach centered on myofunctional therapy.
Our Treatment Goals:
✅ Correct the mouth breathing habit
✅ Strengthen oral and facial muscles
✅ Encourage nasal breathing
✅ Support natural jaw and airway development
✅ Reassess the need for adenoid surgery after 8–10 months
It was a balanced plan — combining science with patience.
The Journey of Transformation
As months passed, Advaith’s body began to respond beautifully to gentle training and guidance.
His parents noticed change after change:
- His lips stayed closed more often — even during sleep
- Snoring reduced dramatically
- Sleep became deeper and calmer
- His morning energy and focus improved
By the 8th month, the transformation was undeniable.
Follow-up imaging and ENT review showed that the adenoids had reduced naturally.
His breathing pattern had corrected so well that surgery was no longer required.
“We couldn’t believe it — the very surgery we feared was no longer needed.”
The Outcome: A Whole New Life for Advaith
After 14 months of consistent therapy and monitoring, Advaith’s success story was complete.
Results That Speak for Themselves
- Mouth breathing stopped completely
- Snoring and teeth grinding disappeared
- Adenoids reduced naturally — no surgery needed
- Deep, uninterrupted sleep every night
- Balanced facial growth and confident posture
The joy and relief in his parents’ eyes said it all — their child could finally breathe, sleep, and grow naturally.
Why This Story Matters
Advaith’s journey is a message of hope and evidence-based care.
Not every case of enlarged adenoids or mouth breathing needs immediate surgery.
When guided through the right myofunctional therapy, the body can often heal itself.
“Gentle intervention, when timed right, can transform a child’s health and future.”
A Message for Parents
If your child:
- Breathes through the mouth instead of the nose
- Snores or grinds their teeth at night
- Struggles with daytime tiredness or open-mouth posture
…please know you’re not alone — and there are natural, effective options before surgery.
With correct diagnosis and myofunctional therapy, children can reclaim:
✅ Natural nasal breathing
✅ Peaceful, restorative sleep
✅ Healthy facial and dental growth
Final Thought: Healing the Root, Not Just the Symptom
Advaith’s case reminds us that the path to healing is not always surgical — sometimes, it’s functional.
By treating the cause, not just the consequence, we can help children breathe, sleep, and live better — naturally.
Every breath counts. Every child deserves the chance to breathe freely.