“When a Child Breathes Right, Everything Changes.”
Nine-year-old Amaira was bright, cheerful, and full of life — but something was quietly affecting her health and energy every single day.
Her parents had spent years searching for answers, visiting multiple doctors for her mouth breathing, snoring, and disturbed sleep, but nothing brought lasting relief.
They had tried sprays, medications, and ENT consultations for her enlarged adenoids, yet improvement never came.
As her mother shared,
“We were scared she would carry these problems forever.”
That’s when they turned to us — looking for hope and a more natural way forward.
The Concerns That Brought Her Parents In
When Amaira first arrived, her parents listed the issues that had been troubling her for months:
- Mouth breathing throughout the day
- Loud snoring and teeth grinding at night
- Restless sleep with frequent waking
- Tiredness and lack of focus the next day
- Open bite — her front teeth didn’t touch
- Lips that stayed apart at rest (lip incompetence)
“She was so full of potential, but poor sleep was holding her back.”
The parents feared that her airway and dental growth were being permanently affected — and they wanted to act before it was too late.
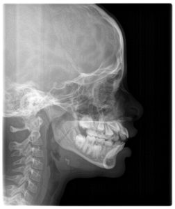
Diagnosis: Looking Beyond the Obvious
We believe every child deserves a complete evaluation — not just of the teeth, but of breathing patterns, muscle function, and overall growth.
Through clinical tests and radiographs, we explored whether Amaira’s mouth breathing was due to physical blockage or an acquired habit.
The findings were clear:
Her mouth breathing was primarily habitual, though enlarged adenoids played a mild supporting role.
Key Findings
- Narrow upper jaw (palate)
- Open bite with dental spacing
- Lip incompetence at rest
- Habitual mouth breathing pattern
- Enlarged adenoids without full obstruction
This meant we could guide her back to nasal breathing — without surgery — through myofunctional retraining.


The Turning Point: Choosing Myofunctional Therapy
Instead of immediately opting for expansion or surgical correction, we chose a gentle, functional approach using myofunctional therapy.
Treatment Goals
- Retrain the tongue, lips, and breathing muscles
- Restore nasal breathing naturally
- Support balanced facial growth
- Keep intervention minimal — expansion only if needed
Amaira began her journey with a custom myofunctional device and guided exercises.
The plan was to monitor her closely and review after 8–10 months.
“The goal was simple — not to force change, but to guide the body to heal itself.”
The Journey of Change
Week by week, her parents began noticing gentle but meaningful progress:
- Her lips stayed closed more often
- Snoring gradually reduced
- She started sleeping through the night
- Her energy levels and alertness improved during the day
By the ninth month, the results were remarkable —
👉 Her growth had adapted so naturally that palatal expansion was no longer needed.
Her airway and function had aligned beautifully through therapy alone.
The Outcome: A Whole New Beginning
After 11 months, Amaira’s transformation was complete — and the change was visible not just in her face, but in her energy and joy.
Results That Spoke for Themselves
- Mouth breathing stopped completely
- Snoring and grinding disappeared
- Continuous, refreshing sleep restored
- Open bite began correcting naturally
- Facial growth back on the right track
For her parents, it was more than a clinical success — it was a deep emotional relief.
“She sleeps peacefully now. She laughs more. It feels like we got our little girl back.”
Why This Story Matters
Mouth breathing isn’t just a habit — it’s a functional imbalance that affects a child’s sleep, growth, and confidence.
When left unchecked, it can lead to dental misalignment, poor facial growth, and chronic fatigue.
But Amaira’s story shows something powerful:
“With the right diagnosis and early intervention, the body knows how to heal.”
A Message for Parents
If your child:
- Breathes through their mouth instead of the nose
- Snores or grinds teeth during sleep
- Looks tired or distracted during the day
- Has gaps or open bite developing in front teeth
…then it’s time to look beyond temporary fixes.
With myofunctional therapy, you can help your child achieve:
- Natural nasal breathing
- Deep, uninterrupted sleep
- Harmonious facial and dental growth
- Lasting confidence and wellness
Final Thought: Gentle Change, Lifelong Impact
Amaira’s journey is proof that healing doesn’t always need to be invasive.
Sometimes, all it takes is the right guidance, patience, and trust in natural growth.
Every child deserves the chance to breathe right, sleep well, and grow strong — naturally.