When Snoring Is Dismissed as ‘Normal’
“I thought he would outgrow it.”
“I didn’t know mouth breathing was a problem.”
This is something we hear from parents every single day.
This case is about Tatvik, a 7-year-old boy whose breathing habits were quietly affecting his sleep, behaviour, facial growth, and dental development — long before anyone noticed his crooked teeth.
Why Tatvik Came to Us
Tatvik was brought to our clinic by his mother with growing concerns about:
- Mouth breathing during the day and night
- Snoring almost every night
- Crooked front teeth
- Difficulty waking up in the morning
- Morning tiredness and low energy
- Irritability and poor focus at school
- Teeth grinding during sleep
At first, these issues seemed unrelated.
But they all had one common root cause — how Tatvik was breathing.
“He Sleeps With His Mouth Open Every Night”
During the consultation, his mother said something very common:
“He sleeps with his mouth open. I thought that was normal.”
But mouth breathing is not normal for children.
It affects:
- Jaw growth
- Facial development
- Airway size
- Sleep quality
- Behaviour and attention
- Tooth alignment
Tatvik showed classic signs of airway-related growth restriction.
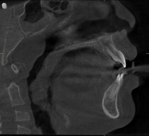
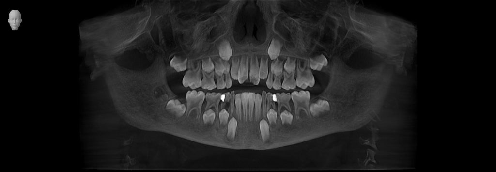
Clinical Evaluation: What We Observed
Facial & Postural Signs
- Forward head posture
- Tired-looking eyes with dark under-eye circles
- Narrow facial structure
Dental & Jaw Findings
- Narrow upper jaw
- Crowding of upper front teeth
- Deep, high-arched palate
- Early crossbite
- Tongue resting low in the mouth
Airway & Breathing Findings
- Snoring 4–5 nights per week
- Persistent mouth breathing
- Enlarged tonsils (Grade II–III)
- Nasal congestion
- Restless, poor-quality sleep
These findings strongly pointed toward Pediatric Sleep-Disordered Breathing.
Understanding the Real Problem
We explained to Tatvik’s mother that her child was experiencing:
- Reduced width of the upper jaw
- Limited airway space
- Poor nasal breathing
- Incorrect tongue posture
- Early orthodontic problems driven by breathing dysfunction
In simple words:
Tatvik’s jaw wasn’t growing wide enough because he couldn’t breathe properly through his nose.


Diagnosis
Tatvik was diagnosed with:
- Airway-related maxillary constriction
- Pediatric sleep-disordered breathing
- Chronic mouth breathing habit
- Low tongue posture
- Early orthodontic malocclusion
Our Treatment Philosophy
This Was Never Just About Teeth
Early orthodontic treatment is not cosmetic.
It is growth guidance.
Our goal was to:
- Improve breathing
- Support airway development
- Guide jaw growth
- Improve sleep quality
- Create space for natural dental alignment
Treatment Plan: Airway-Centered, Child-Friendly, Growth-Guided
1.Airway Support & Habit Correction
We started with the basics:
- Breathing exercises
- Tongue posture training
- Bedtime routines to encourage nasal breathing
- ENT evaluation for tonsils and nasal obstruction
2. Gentle Maxillary Expansion
A child-friendly expander was used to widen the upper jaw.
This helped to:
- Improve nasal airflow
- Create space for the tongue
- Reduce snoring
- Allow proper jaw growth
- Make room for teeth naturally
3. Myofunctional Therapy
Tatvik was taught:
- Correct tongue resting posture
- Proper swallowing pattern
- Nose-breathing habits
- Strengthening of oral and facial muscles
4. Early Orthodontic Alignment
Once the jaw was widened:
- Front teeth alignment improved
- Crossbite corrected
- Bite stabilized
- Facial growth guided in a healthier direction
The Changes That Followed
After 4 Weeks
- Snoring reduced by nearly 50%
- Child woke up more refreshed
- Noticeable improvement in nasal breathing
After 3 Months
- Increase in jaw width
- Crossbite corrected
- Improved tongue posture
- Teacher reported better focus and concentration
After 6 Months
Tatvik’s mother shared:
“He sleeps quietly now. And my life feels peaceful again without worrying about him.”
Additional improvements:
- Teeth grinding significantly reduced
- Mood and behaviour improved
- Energy levels increased
- Facial growth appeared more balanced
Final Outcome: More Than a Better Smile
This case proves that early orthodontics is not just about straight teeth.
By improving the airway and guiding jaw growth:
- Sleep quality improved
- Behaviour and attention improved
- Facial development normalized
- Future orthodontic treatment became simpler
- Breathing became healthier and more natural
Clinical Perspective
Why Airway-Focused Orthodontics Matters in Children
Children do not outgrow mouth breathing.
They grow into:
- Narrow jaws
- Crowded teeth
- Poor sleep quality
- Behaviour and attention difficulties
- Long-term airway issues
Early intervention allows the child to grow to their full genetic potential — dentally, physically, and emotionally.
Does Your Child Have an Airway Issue?
Common warning signs include:
- Mouth breathing
- Snoring
- Teeth grinding
- Dark circles under the eyes
- Crowded teeth
- Restless sleep
- Daytime irritability
- ADHD-like symptoms
Final Message to Parents
If your child is struggling to breathe well,
they cannot grow well.
We offer a comprehensive airway and orthodontic evaluation to help your child:
- Breathe better
- Sleep better
- Grow better
Because healthy breathing builds healthy children.