When the Tongue Is Restrained, Life Becomes Restricted
Tongue-tie isn’t just a childhood problem — adults suffer silently too.
Most people think of tongue-tie as something that only affects infants who struggle with breastfeeding.
But in adults, an undiagnosed tongue-tie can do far more damage than expected — disrupting breathing, sleep, posture, speech, and even emotional wellbeing.
This is the story of Amita, a 24-year-old software professional whose life changed when she discovered the source of her nighttime choking and constant mouth breathing.
Amita’s Hidden Struggle: “My Mouth Always Felt Too Small for My Tongue.”
When the tongue can’t rise, breathing can’t flow.
After teenage orthodontic treatment with four premolar extractions, Amita was left with an unsettling feeling:
“It’s like my tongue never has enough space.”
Over the last two years, her symptoms escalated:
- Mouth breathing, especially during sleep
- Sudden choking episodes at night
- Gasping awakenings
- A constant awareness of restricted tongue movement
Her daily comfort was affected.
Her sleep was disturbed.
And her fear kept growing.
The Assessment: More Than Just a “Tight Tongue”
A tongue that cannot move cannot support the airway.
A detailed oral functional evaluation revealed the truth:
Clinical Findings
- Severe tongue-tie restricting elevation
- Restricted forward movement
- Poor oral rest posture
- Inability to maintain oral seal → mouth breathing
- Nighttime choking due to poor tongue stability
The symptoms matched one root cause:
Her tongue was physically unable to function normally.

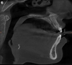
Radiology: The Airway Was Normal — The Function Wasn’t
Not all breathing problems come from narrow jaws.
CBCT + cephalometric evaluation showed:
- Normal maxilla
- Normal mandible
- Adequate posterior airway space
Her anatomy was fine.
The issue was functional, not skeletal.
Diagnosis
- Severe tongue-tie (ankyloglossia)
- Secondary mouth breathing
- Sleep-disordered breathing symptoms
- Psychological concern aggravated by past extractions
The Plan: Release the Restriction → Restore the Function
A small procedure. A massive impact.
Treatment Approach
- Laser frenectomy to release the tongue-tie
- Post-release myofunctional therapy for tongue mobility and airway stability
The goal was simple:
Give her tongue the freedom it never had.
The Procedure: Gentle, Precise & Life-Changing
Modern laser treatment = no bleeding, no stitches, no trauma.
The laser-assisted release was performed under local anesthesia.
It was:
- Quick
- Comfortable
- Bloodless
- Minimally invasive
And the improvement in tongue mobility was instant.
Her Transformation: “I Can Finally Breathe in My Sleep.”
Sometimes, fixing the tongue fixes the life attached to it.
Within weeks, Amita experienced:
✔ Physical Relief
- Complete stop to nighttime choking
- Significant reduction in mouth breathing
- Freer airflow during sleep
- Comfortable tongue movements
✔ Functional Gains
- Better oral posture
- Improved speech clarity
- More relaxed jaw and throat
✔ Emotional Restoration
“For the first time in years, I feel like my tongue belongs in my mouth.”
Her sleep improved.
Her confidence improved.
Her daily life improved.
Conclusion: When You Release the Tongue, You Release the Person
Tongue-tie is more than a tissue problem — it’s a quality-of-life problem.
Amita isn’t alone.
Many adults struggle for years without knowing their symptoms are rooted in an undiagnosed tongue-tie.
This case shows how:
- One small restriction
- Can lead to major breathing issues
- But one simple laser release
- Can restore breathing, sleep, posture, and comfort
A tiny correction.
A huge transformation.
Freedom to breathe. Freedom to speak. Freedom to live — begins at the tongue.