When Space Inside Your Mouth Controls the Space Inside Your Breath
Airway issues often begin where no one thinks to look — the dental arches.
Breathing is supposed to be effortless.
But for Arvind, every breath felt restricted, heavy, and incomplete.
Years after orthodontic treatment with premolar extractions, he was convinced that removing teeth had damaged his airway.
He lived with the constant fear that his mouth simply “didn’t have enough space to breathe.”
This is the story of how modern airway-focused dentistry uncovered the truth — and restored not just his smile, but his entire sense of ease.
Arvind’s Hidden Struggle: “I Feel Like I’m Always Fighting for Air.”
When the mouth feels small, the whole world feels smaller.
For years, Arvind battled:
- A persistent suffocating feeling
- Restricted tongue movement
- Nighttime choking spells
- Mouth breathing during sleep
- Anxiety from believing that extractions caused his suffering
The emotional burden was as heavy as the physical discomfort.
“I just want to breathe normally again — without feeling trapped in my own mouth.”
He refused braces and wanted a discreet, comfortable solution.
And that’s when the real answers began to unfold.
The Truth Revealed: It Wasn’t the Extraction — It Was the Collapsed Space
Fear dissolves when facts are understood.
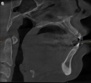
A comprehensive airway and functional dental evaluation uncovered:
Clinical Findings
- Collapsed upper & lower arches
- Retroclined incisors
- Torque loss
- Reduced tongue space
- Mouth breathing habit
CBCT & Cephalometry
- Mild airway constriction
- Mild maxillary constriction
- Normal jaw structure
- No skeletal airway deficiency

Diagnosis
- Dentoalveolar constriction
- Incisor retroclination
- Secondary tongue restriction
- Mild airway compromise
- Post-orthodontic relapse—not extraction-related
The Turning Point
“Your extractions didn’t cause the problem. The collapse after treatment did.”
This single explanation lifted years of fear from Arvind’s mind.
Invisalign: The Clear Path to Breathing Better
When you want change without visible braces.
Arvind didn’t want metal braces again — so the team crafted a treatment plan that was effective, invisible, and airway-driven.
Goals with Invisalign:
- Expand arches within biological limits
- Upright and re-torque incisors
- Create adequate tongue space
- Improve airway posture
- Support nasal breathing
Plus: Myofunctional Therapy
Because breathing is a habit.
And habits can be re-trained.
What Happened Next Was Life-Changing
Correct alignment doesn’t just straighten teeth — it opens air.
As Invisalign progressed, so did Arvind’s transformation:
Functional Improvements
✔ Wider, more stable arches
✔ Incisors moved into ideal torque
✔ Tongue gained natural resting space
✔ Airway posture improved
Symptoms That Vanished
✔ No more nighttime choking
✔ Mouth breathing reduced drastically
✔ Deeper, calmer sleep
✔ Easier breathing throughout the day
The Emotional Shift
“My mouth feels open again. I feel relaxed from inside. I didn’t know breathing could feel this free.”
His confidence returned. His energy improved. His anxiety disappeared.
This Case Proves an Important Truth
It’s not always the extraction. Sometimes it’s what happens after.
🟦 Extractions do not automatically cause airway problems.
🟦 Improper angulation and arch collapse do.
🟦 In the right hands, Invisalign is a powerful airway tool.
🟦 Tongue posture and torque matter as much as alignment.
Arvind didn’t just fix a smile.
He restored his breath, sleep, and quality of life.
Conclusion: When You Treat the Space, You Transform the Person
Airway dentistry isn’t cosmetic — it’s life-changing.
This case demonstrates how:
- Proper diagnostics
- Functional planning
- Thoughtful counselling
- And Invisalign precision
can completely reshape a patient’s airway experience.
Arvind didn’t undergo braces or surgery.
He simply received treatment that respected biology, function, and the airway.
He didn’t just breathe better — he began living better.