It Wasn’t Just Snoring… It Was a Silent Struggle
What looks like a harmless habit — sleeping with the mouth open — can sometimes signal a deeper problem.
For Aarav (name changed), a 9-year-old child, it wasn’t just snoring.
It was a daily battle with breathing, sleep, and focus.
“We Thought It Was Normal…” — A Parent’s Perspective
It started when Aarav was just 6 years old.
He slept with his mouth open every night.
At first, his parents didn’t worry. Many children do that, right?
But slowly, more signs began to appear:
- Loud snoring every night
- Teeth grinding during sleep
- Restless sleep and frequent waking
- Dark circles under the eyes
- Constant mouth breathing
- Dry lips and bad breath
- Crowded teeth
During the day, things weren’t any better.
- He seemed tired.
- Irritable
- Unable to concentrate in school.
Something wasn’t right.
When Sleep Affects More Than Just the Night
Poor breathing during sleep doesn’t just affect rest — it impacts:
- Brain function
- Growth and development
- Behavior and mood
- Academic performance
Aarav’s teachers began noticing his lack of focus.
His parents knew it was time to seek help.
The First Diagnosis — But Not the Full Answer
An ENT consultation revealed mild adenoid enlargement.
Treatment included:
- Nasal sprays
- Allergy medications
- Steam inhalation
While these offered temporary relief, the core problems remained:
❗ Snoring continued
❗ Mouth breathing persisted
❗ Sleep quality did not improve
Looking Deeper: What Was Really Causing the Problem
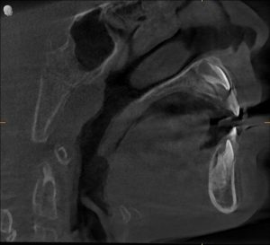
When Aarav visited the clinic, a comprehensive airway and dental evaluation told a different story.
Key Findings
- Narrow upper jaw (maxilla)
- High-arched palate
- Constricted airway space
- Improper tongue posture
- Chronic mouth breathing habit
The real issue wasn’t just adenoids — it was structure.
A narrow jaw meant less space for the nasal airway, forcing him to breathe through his mouth.

The Turning Point: Treating the Root Cause
Instead of focusing only on symptoms, the treatment targeted airway and jaw development.
1.Maxillary Expansion
A specialized appliance was used to:
- Gradually widen the upper jaw
- Increase nasal airway space
- Improve breathing through the nose
2. Mandibular Advancement
A functional appliance helped:
- Guide the lower jaw forward
- Enhance airway patency
- Support proper facial growth
This was not just orthodontics — it was airway rehabilitation.
The Transformation: Month by Month
Within 3 Months
- Snoring reduced
- Nasal breathing improved
By 6 Months
- Snoring significantly decreased
- Mouth breathing stopped
- Sleep became deeper and more restful
At 1 Year
- No snoring
- No mouth breathing
- Improved facial development
- Natural alignment of teeth
- Better concentration in school
The Outcome: A Healthier, Happier Child
Today, Aarav wakes up:
- Energetic
- Refreshed
- Focused
His parents noticed:
- Better mood
- Improved sleep quality
- Increased attention in school
From restless nights to brighter days — the change was life-altering.
The Bigger Message: It’s Not “Just a Phase”
Mouth breathing, snoring, and restless sleep in children should never be ignored.
They are often signs of underlying airway and developmental issues.
Early intervention can:
- Improve breathing
- Support proper facial growth
- Enhance sleep quality
- Boost cognitive performance
Final Thought
“We didn’t just expand his jaw — we opened the path to better health.”
If your child:
- Snores
- Breathes through the mouth
- Sleeps poorly
It’s worth looking deeper.
Because sometimes, the solution isn’t just medical…
It’s structural. And it’s life-changing.